1. If someone appears absolutely normal after head injury, does that mean that they are completely alright and they need to seek help at hospital.
Yes – Any head injury ranging from mild to severe needs medical attention immediately, for the very reason that if any bleeding has occurred in the brain it would slowly increase and it can go unnoticed. The person may lapse into unconscious state anytime later. It is advisable to go to comprehensive trauma care and consult a Neurosurgeon in Bangalore.
2. If person is unconscious should we feed them water or food.
No – it will causes choking and thereby aspiration pneumonia due to which they may die immediately, which would have not happened otherwise. So never offer water to the unconscious person.
3. You need to shake the head following injury.
No – If any neck injury is associated he may become paralysed permanently.
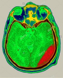
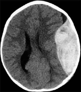
4. If brain CT scan is normal, he will be fine.
No, few times, delayed bleeding in the brain can occur. Small bleeding can be missed by CT or MRI scans.



5. Once head injury, he may become mentally retarded life long.
No – Many patients recover over a period of days to months slowly with or without mild cognitive impairment.
6. Brain injury or concussions will reduce the process of learning.
Not in all patients. We have patients who have excelled and are leading normal life.
7. Head injury has occurred today and we shall take doctor consultation anytime in the future as he is completely looking normal we can show when there is a problem
Wrong – Need immediate attention- to prevent problems to brain. Since brain injuries can be fatal.
8. It is just swelling over the head injury, let’s leave it alone
No – There can be an underlying problem which can be detected by Neurosurgeon Bangalore.
9. Any person after head injury on road is unconscious, not moving – he is dead.
Myth – No it can be just transient loss of consciousness due to head injury, most of the patients will be having brief period of loss of consciousness, they may gain consciousness may after few minutes to hours. Please seek for medical help immediately.
Our expert Neuro team at Neurowellness in Bengaluru provide consultation and treatment to all neuro problems.
Please visit
Neurowellness
Brain and Spine Clinic
#1224, Ground-Floor, 26th Main, Jayanagar 9th Block
BANGALORE – 560069
Phone No
72596 69911
73490 17701
Expert Head Injury Treatment in Bangalore
“Even minor head injuries can be dangerous if ignored. Neurowellness Brain & Spine Clinic offers advanced scans and treatment for head injuries.”
Dr. Ganesh Veerabhadraiah
Consultant – Neurosurgeon, Neurointerventional Surgery, Spine Surgeon (Neuro)
23+ Years Experience Overall (17+ years as Neuro Specialist)
Available for Consultation: Jayanagar 9th Block & Kauvery Hospital, Electronic City
FAQs
1. Is every head injury serious?
No. Not all head injuries are life-threatening, but even minor ones should be evaluated to rule out hidden complications.
2. Do I need a CT scan after every head injury?
Not always. Doctors recommend scans only if symptoms like unconsciousness, vomiting, or confusion appear.
3. Can you sleep after a head injury?
Yes, sleep is usually safe if the patient is alert and stable, but monitoring for worsening symptoms is crucial.
4. Does a helmet prevent all head injuries?
No. Helmets reduce risk but cannot fully prevent severe brain injuries during major accidents.
5. Where can I get expert care for head injuries in Bangalore?
Neurowellness Brain & Spine Clinic provides advanced diagnosis and treatment for head injuries of all types.





Comments are closed.